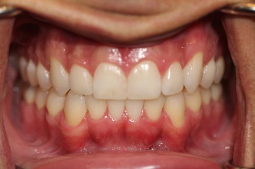
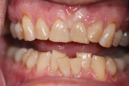
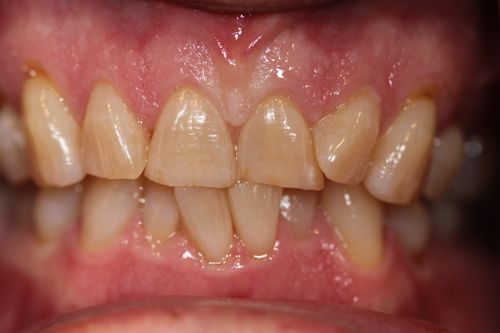
Discover what’s possible at Moonlight Beach Dental, and check out some of our favorite success stories.


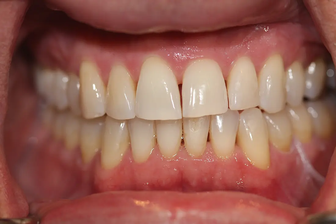
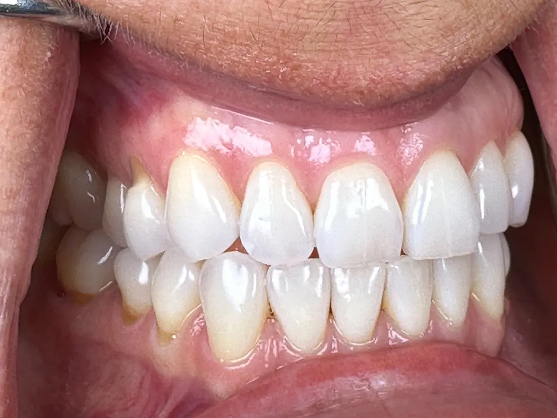
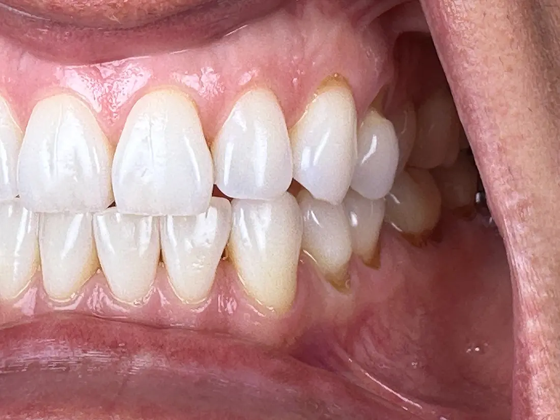
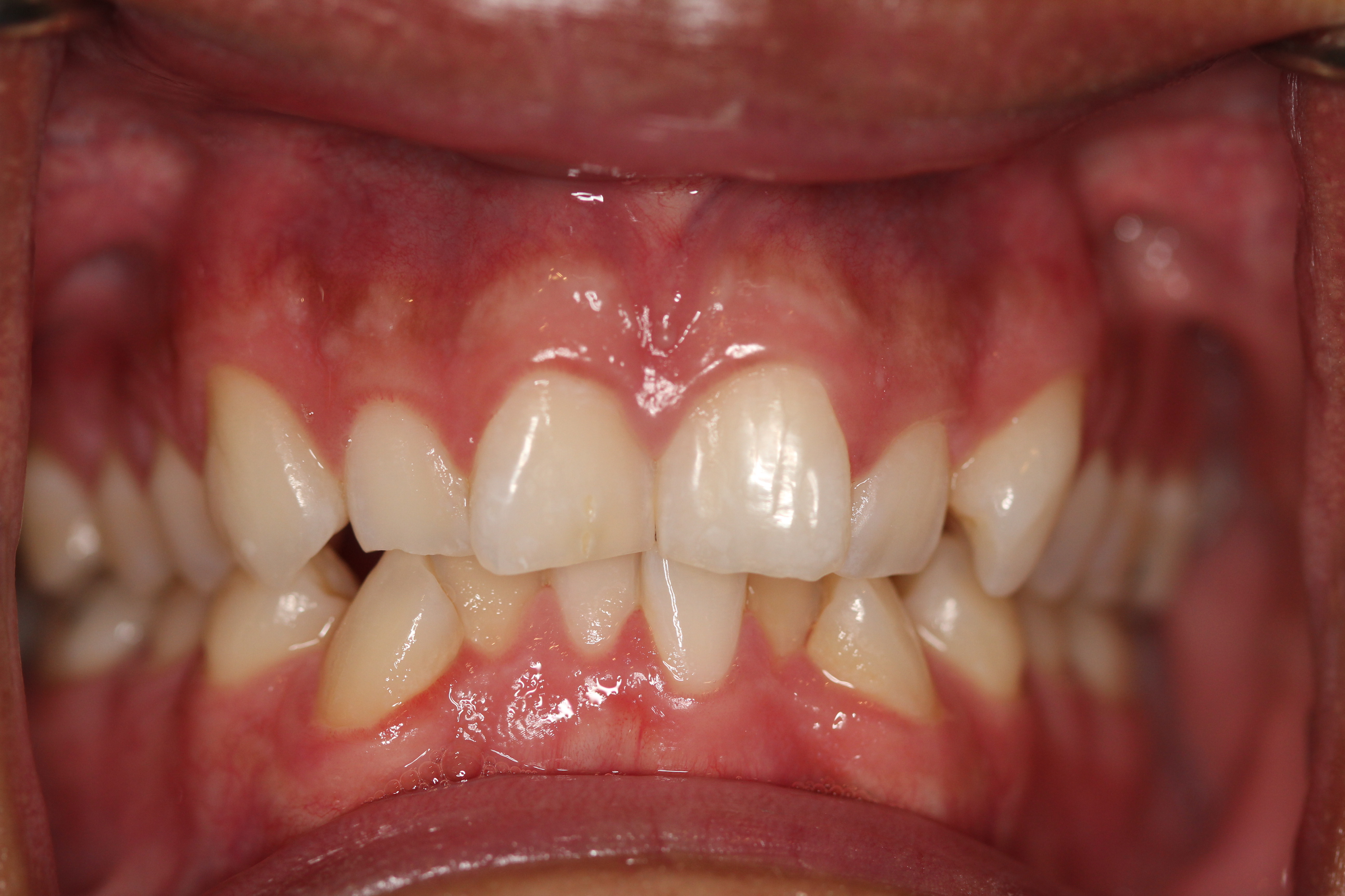
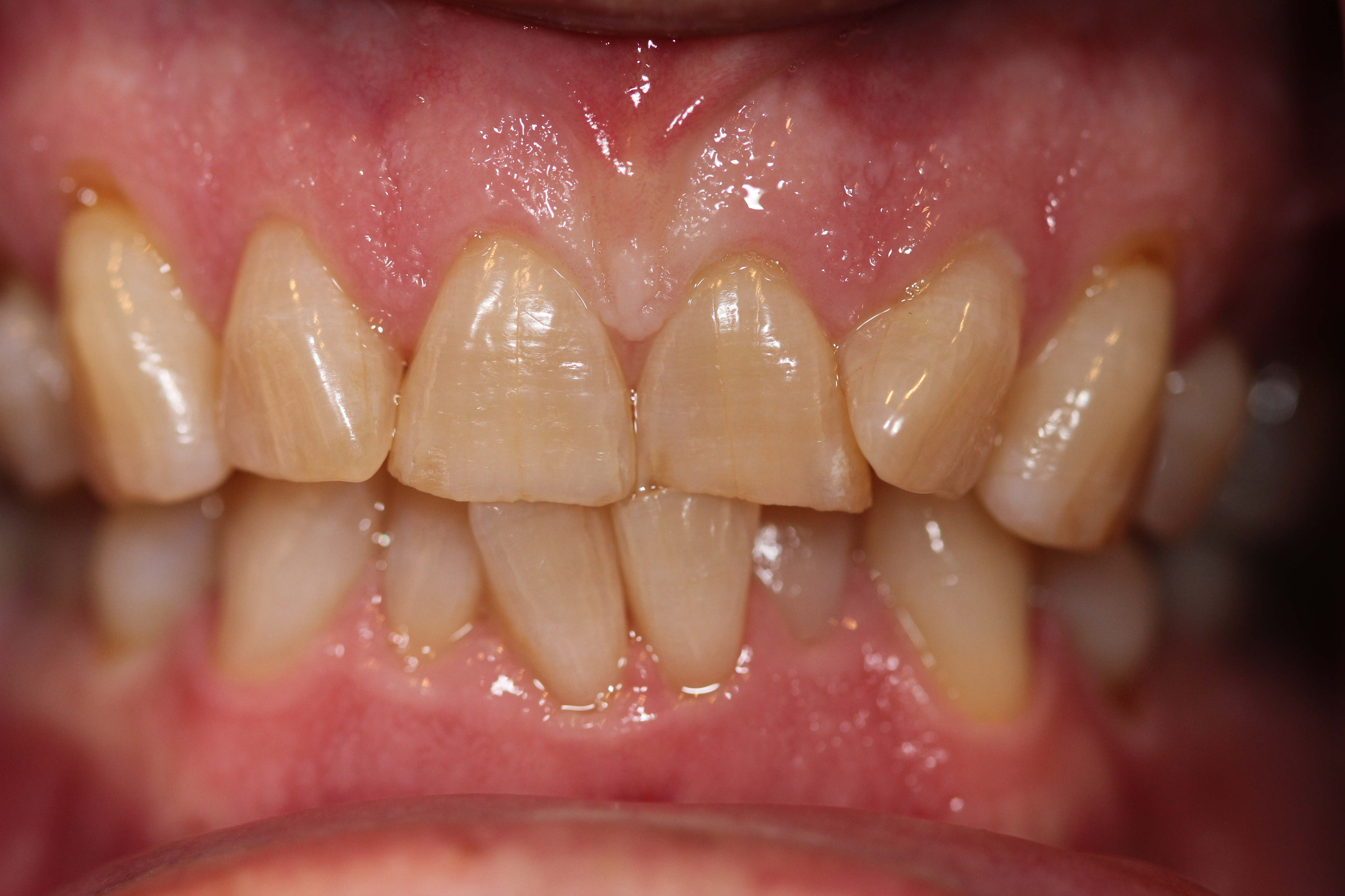
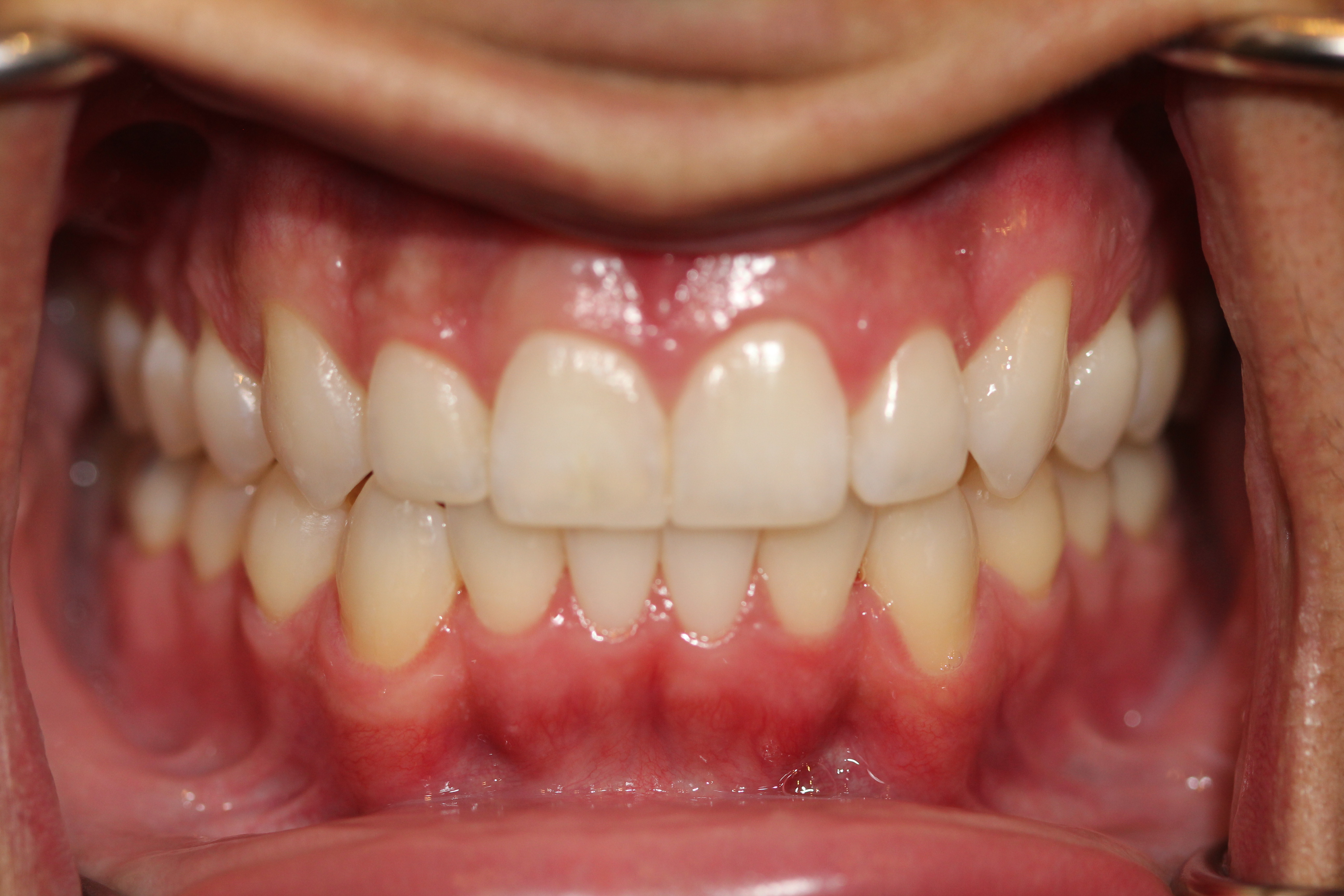
Invisalign treatment corrected crowding and spacing issues, while offering a discreet and comfortable option with virtually invisible aligners unlike traditional metal braces.
.jpg)
.jpg)
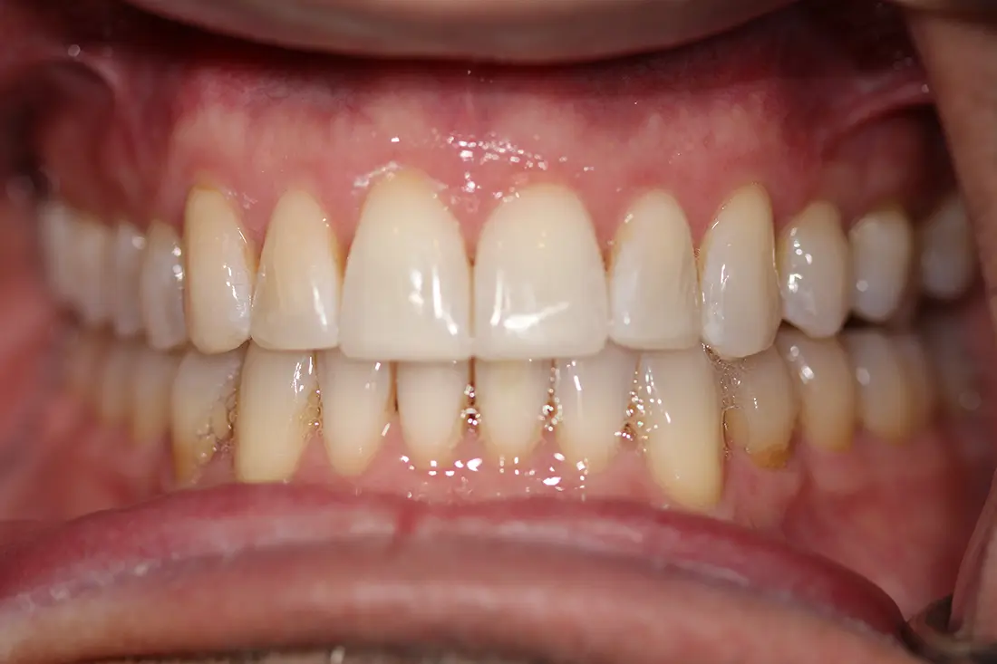
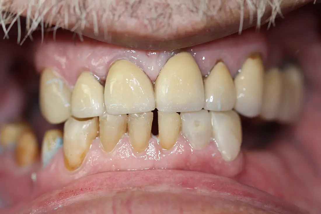
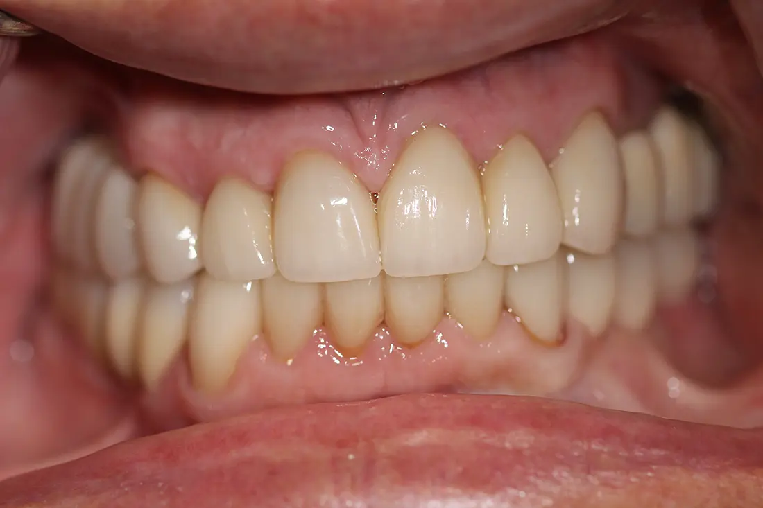
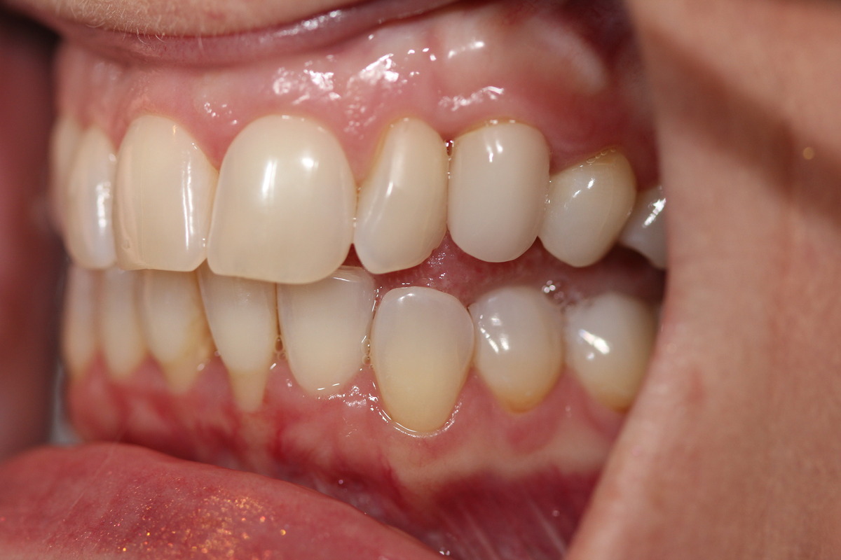
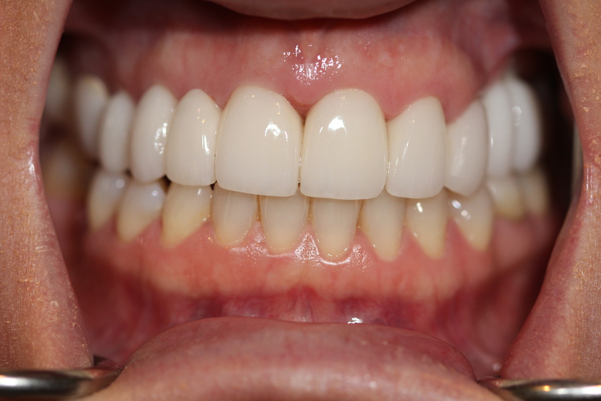
Replacing worn enamel with no prep bonding! lengthened the teeth within an hour!


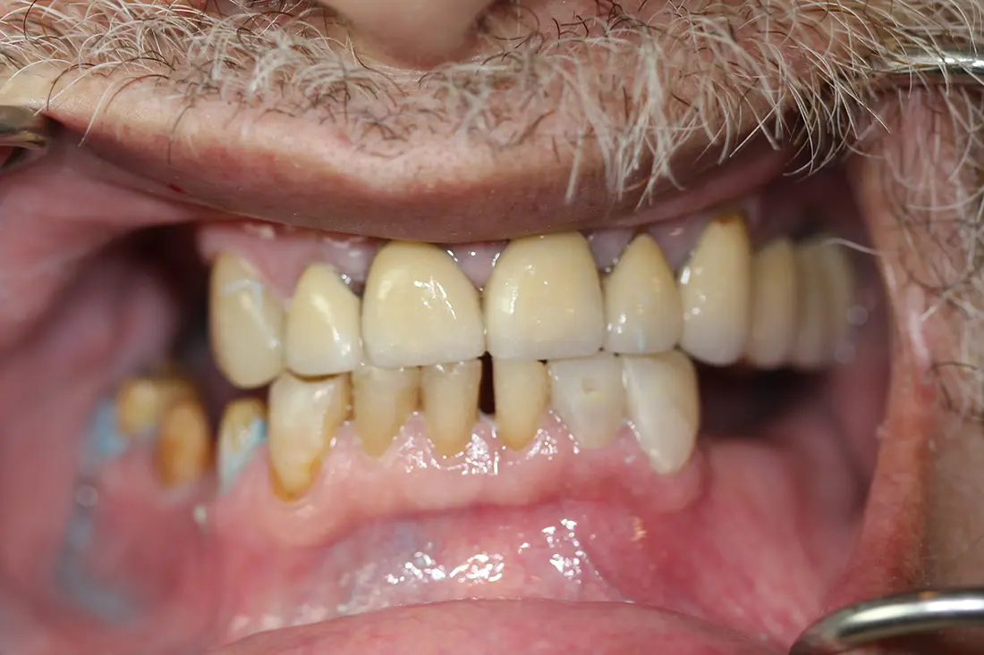
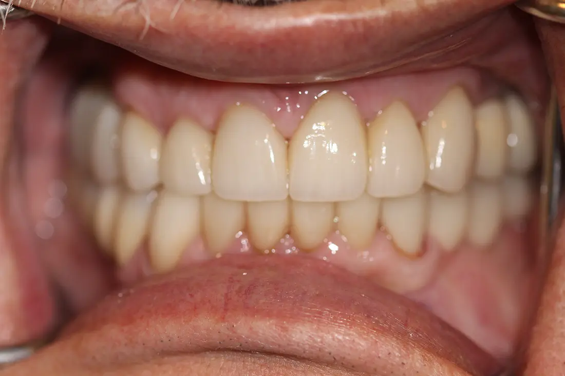
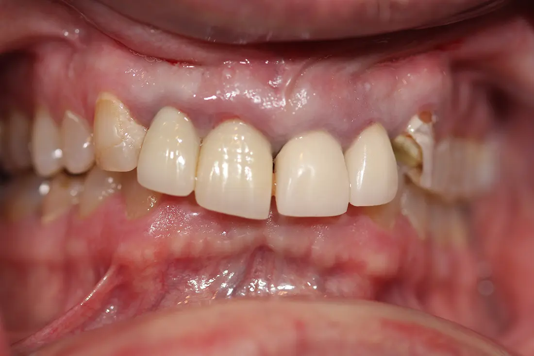
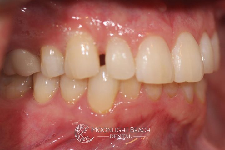
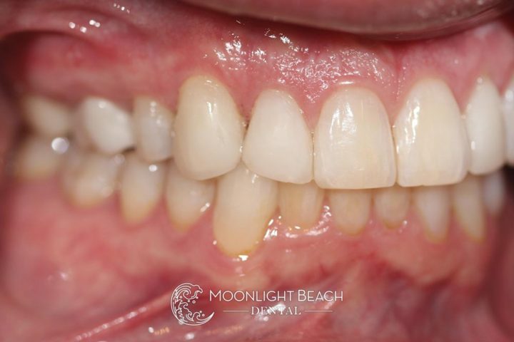
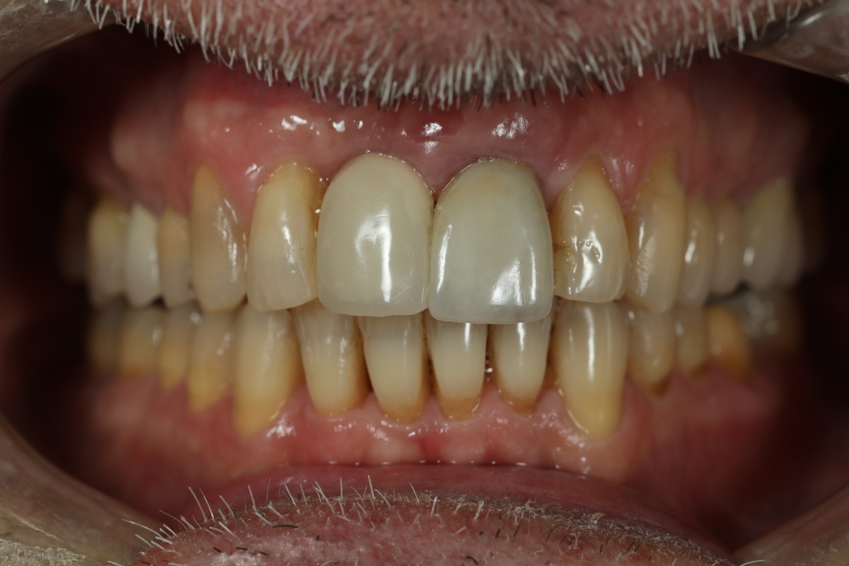
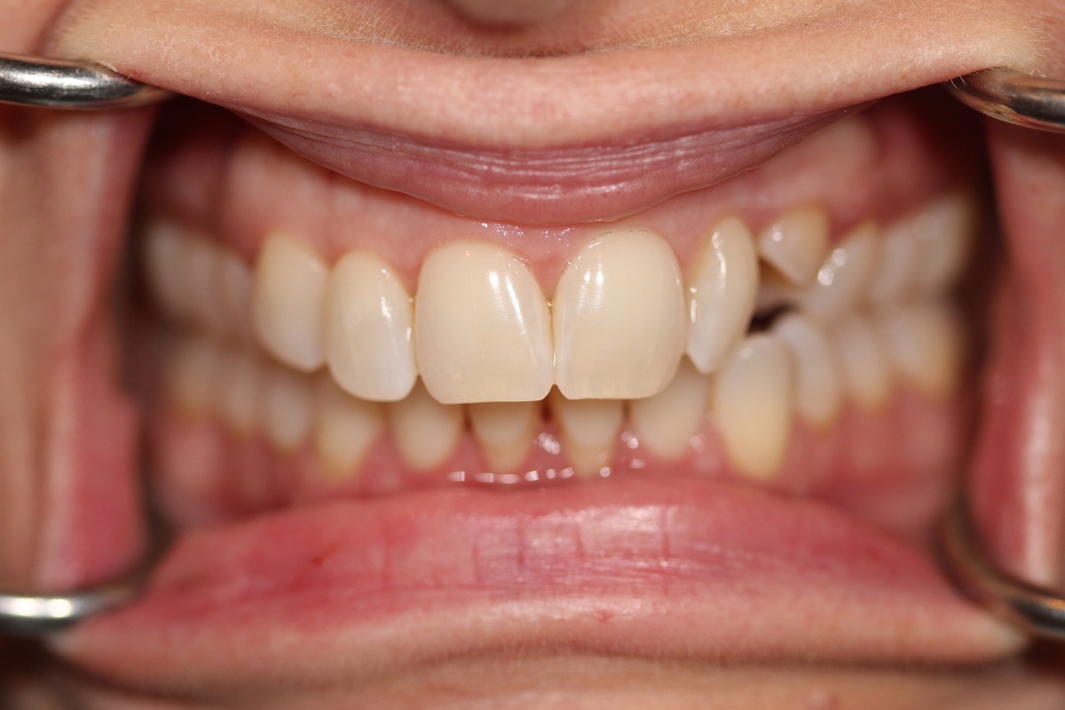
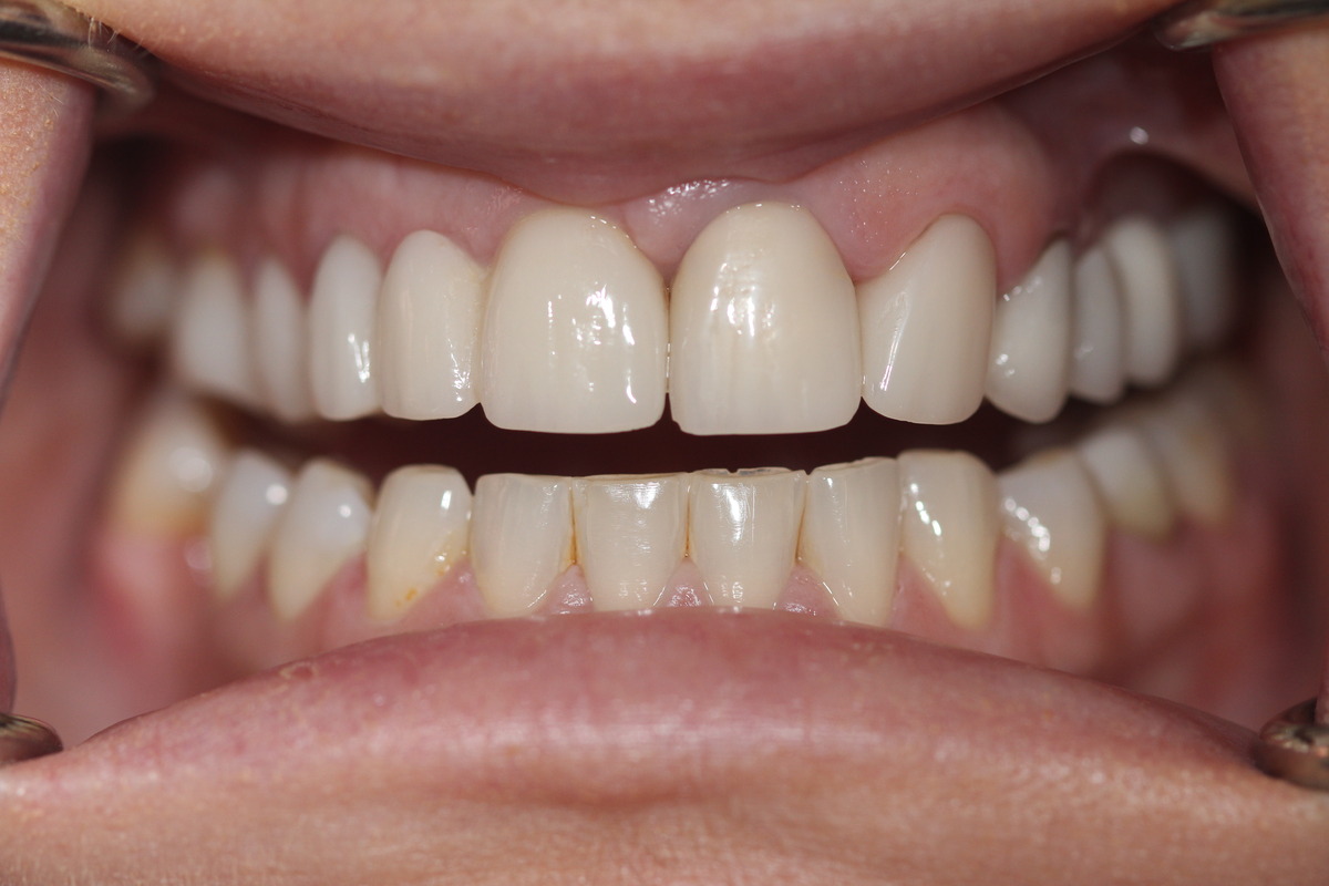
Our patient struggled with crowding, a constricted airway causing back teeth damage, and worn front teeth. With Invisalign, a dental implant, and 4 custom front veneers, we achieved a stunning smile makeover in approximately 18 months. Both patient and team couldn’t be happier with the results!
.jpg)
.jpg)
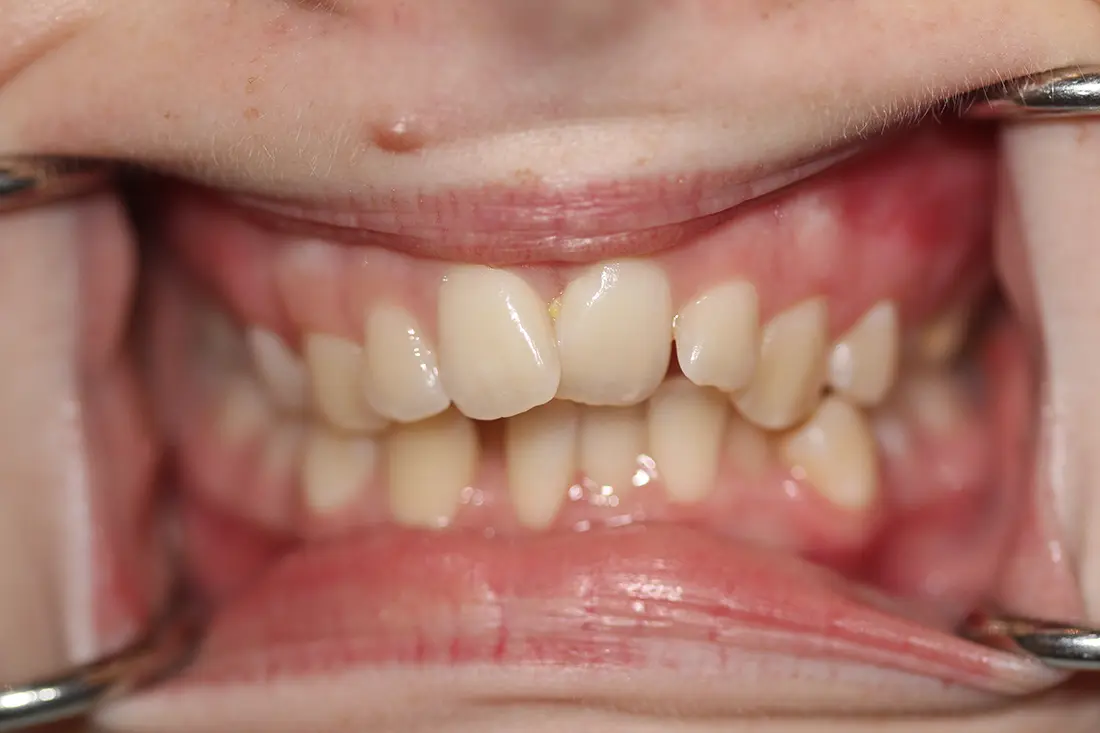
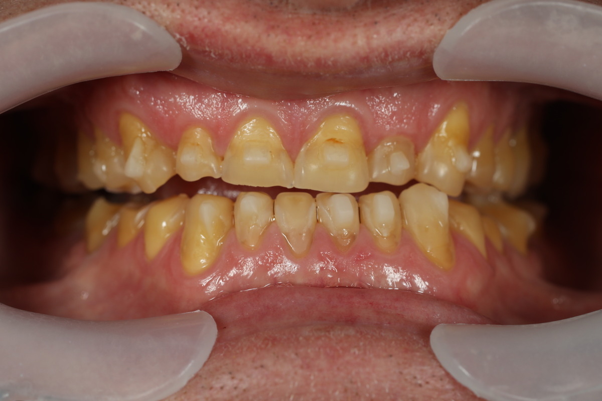
Severely worn teeth from excessive grinding, with multiple teeth already broken. We increased the height of the back teeth to reduce grinding and protect the smile, while lengthening the teeth using minimal preparation. The result? A stunning, life-changing transformation with the use of conservative porcelain!
.jpg)
.jpg)
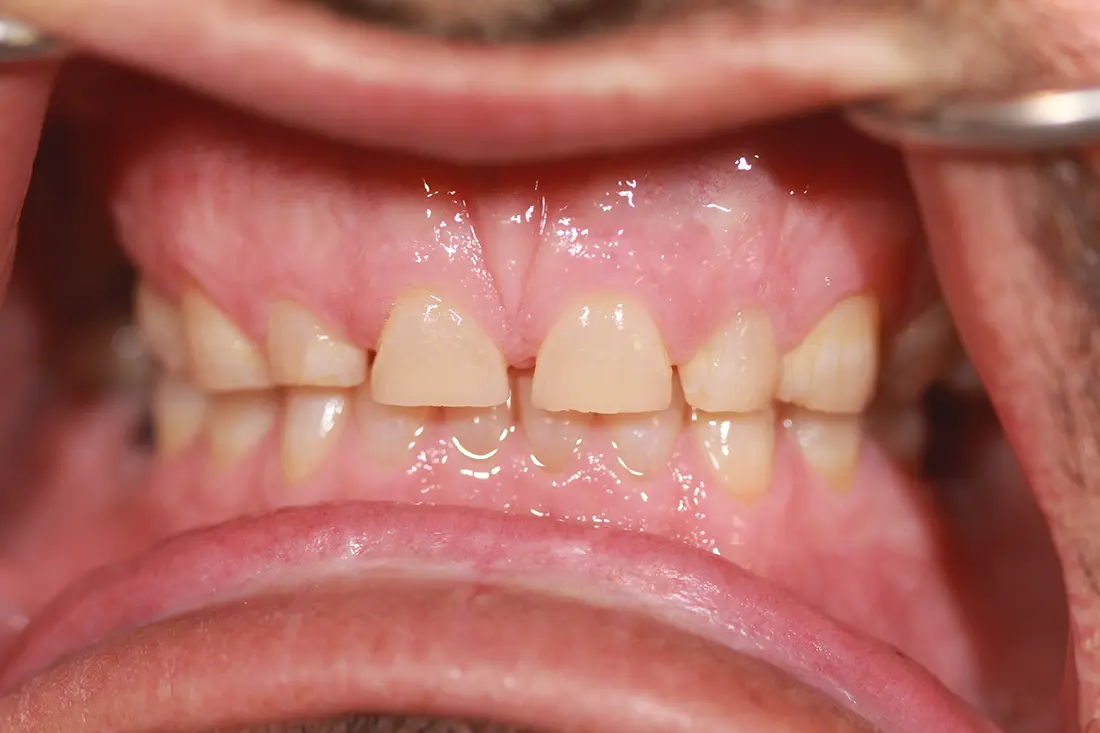
Severely worn teeth from constant grinding, with multiple teeth already broken. We restored the back teeth to a taller height, reducing grinding and protecting the smile. Using minimal preparation, we lengthened the teeth and achieved stunning, life-changing results with conservative porcelain!
.jpg)
.jpg)
This patient was missing a few teeth and had never undergone orthodontics. We raised the back teeth to improve her bite and lengthen her smile, while also achieving a significant shade enhancement. She went from avoiding photos to smiling ear to ear with full confidence, all the time!
.jpg)
.jpg)
Our patient came to us with worn teeth and underlying dental issues that required attention. We’ve placed ceramic implants, removed the infection, and are halfway through correcting her bite. With 3/4 of the upper arch completed, she’s already experiencing remarkable improvements in both her smile and overall oral health!
.jpg)
.jpg)
Replacing an old implant crown, placing a new implant, and creating symmetry. Natural looking, with only replacing the 4 front teeth!
.jpg)
.jpg)
Replacing some old dentistry with all porcelain veneers (only 4) changes the entire smile and face!
.jpg)
.jpg)
Replacing old bonding on 2 front teeth, with conservative veneers! Improved the overall smile and the tissue health! The patient was thrilled, so much brighter and more symmetrical.
.jpg)
.jpg)
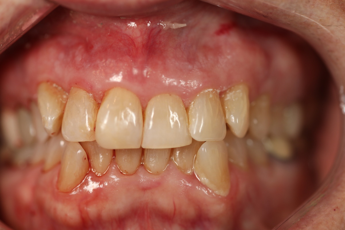
From old and worn teeth to rebuilding the bite with conservative porcelain work! Amazing!
.jpg)
.jpg)
Severely worn and eroded teeth replaced with all porcelain veneers! Changed the entire appearance of her face and smile!
.jpg)
.jpg)
From worn eroded enamel to an all new smile - full mouth rehabilitation with porcelain!
.jpg)
.jpg)
%20(1).jpg)
.jpg)
%20(1).jpg)
.jpg)
.jpg)
.jpg)
Invisalign® success! Initially, we planned this case with Invisalign® and a few no-prep veneers, but the patient was so thrilled with the results from Invisalign® alone that we didn’t need porcelain. A life-changing transformation—he now enjoys a more stable bite, significantly reducing tooth chipping!


This case was especially meaningful as we took it on pro bono. Our patient came to us with concerns about his previous 'military dentistry,' which had left him with patchwork solutions that didn’t address his bite or restore his smile. In just a few visits, we managed to avoid root canals while carefully treating deep decay and rebuilding his smile. The results exceeded both of our expectations, and we’re thrilled with the transformation!


This patient did not like her new veneers that were done to correct a trauma to her teeth incurred as a professional athlete. She was not only concerned about the esthetics of a grey tooth, but also was very concerned about the infection and its impact on her overall health. Switching out her veneers- and masking the color change- is one of the most difficult things you can do in dentistry! We were successful and had an outcome we were both thrilled about! With minimal visits to boot! Before: grey bulky veneer- and after- a true enamel replacement!
.jpg)
.jpg)
Worn and broken teeth from severe grinding. We addressed the issue by raising the height of the back teeth to minimize grinding, and carefully lengthened the teeth with minimal preparation. The result is a stunning, life-changing transformation using conservative porcelain!
.jpg)
.jpg)
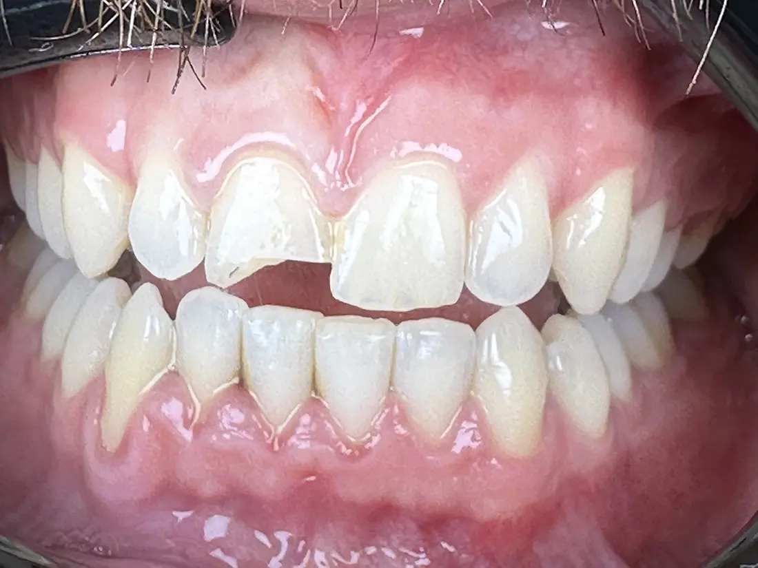
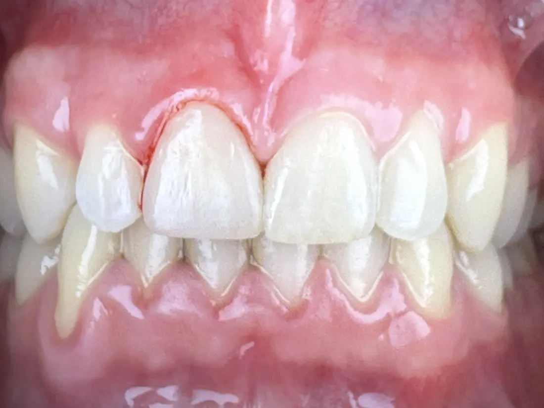
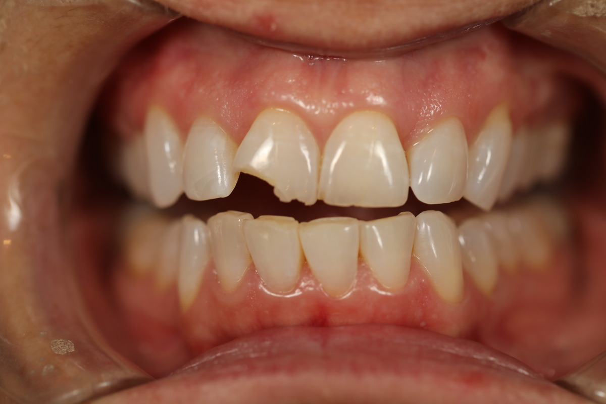
Conservative bonding after a fall! One visit, and a difficult shade match- seamless results!
.jpg)
.jpg)
Accidents happen, but we're here to help! Another successful case—this time a chipped tooth. In just one hour, without any drilling, we used additive bonding to restore the tooth. The patient was absolutely thrilled with the results!
.jpg)
.jpg)
Check this out! A retained baby tooth transformed in just one visit. We custom-crafted a new tooth to restore it to its proper size, completely enhancing the patient’s face and smile with this single change!
.jpg)
.jpg)
Our patient came to us with worn teeth, an infection, and bite misalignment that were impacting her overall health. So far, we’ve placed ceramic implants, removed the infection, and corrected 3/4 of her upper arch. Her bite is improving, her health has already seen significant benefits, and the results look so natural!


This patient faced severe reflux and heavy tooth wear, causing extreme sensitivity and exposed nerves. Overcoming her dental phobia was essential. Through sedation, we restored her smile into something truly beautiful. A remarkable journey to comfort, confidence, and a radiant smile!
.jpg)
.jpg)
Our patient’s gums and teeth needed some care to restore their health and comfort. With conservative treatment, we brought their smile back to life. Their gums and teeth are now so much healthier and happier!

.webp)
This patient was worried about his front teeth, both cosmetically, and the fact that healthwise he has 4 front root canals, and old metal-based crowns that he worried were making him sick.
I took out all front 4 teeth, cleaned out the sockets, and placed 4 immediate zirconia implants.
This is after integration of the all-zirconia implants, we did 4 all-zirconia crowns. The patient wanted a shade lighter than his other teeth.
LOOK at the TISSUE! Look at the gum health of the implants! So pink and happy! The patient was thrilled.
Truth be told, he needed many more crowns to properly restore and balance his bite. But, we need to meet the patient where they are at, and often, that is with less dentistry than is ideal. All things considered, I am very happy with the result, and so is the patient!


This patient had another dentist placed a very thick veneer to mask crowding on the lower teeth. Dr. Vane used Invisalign to correct the issue rather than mask it. The results are amazing.
.jpg)
.jpg)
Before this lovely patient was worried her bite was changing and the teeth were becoming worn down. this led to a collapsed appearance of her smile, and a slanted smile with a reverse smile line. as stunning as she is , she looked older with this smile.
After using porcelain conservatively, Dr. Vane placed veneers on the top and bottom to restore the length and vitality to her teeth- which transformed her smile and youthful vitality of her face! she looked 20 years younger when we were done! This will forever be one of my favorite smiles- I felt so blessed to participate in this case.


While it took a year to get him where he needed to be, this post features a VERY happy patient that received VERY conservative treatment.


This patient had a failing root canal and crowns with numerous health issues. Dr. Vane extracted this patient's 4 front teeth and placed 4 immediate zirconia implants - temporaries that he wore for 6 months while healing before the permanent crowns. You can see how the tissue responds to the zirconia, only 4 front teeth transformed his smile and confidence!


We restored this patient's broken-down crowns and teeth. He walked out of our office with a brand-new smile, ready to take on life!


This patient had numerous health and sleep issues, and a mouth full of metal. Dr. Vane placed 5 zirconia implants and did a full mouth reconstruction to create a natural, age-appropriate smile. His health improved dramatically!


This patient had severely crowded teeth with a tongue tie and lisp. Orthodontists recommended breaking her jaw and tooth extraction but Dr. Vane used Invisalign, a tongue-tie release, and an expander to solve the problem - teeth removal was not necessary. The patient looks and feels amazing!


This patient had small, worn teeth due to teeth grinding. Look at the beautiful transformation! White and symmetrical but the best part is the patient has stopped grinding his teeth!


This patient had heavily worn and gapped teeth. The teeth were small and looked like "baby" teeth. Look at the difference!


This patient had her veneers done 5 years ago but they were dull, lifeless, and were overly drilled down. She came to Dr. Vane wanting them redone. The outcome was transformative, she was thrilled with the beautiful vitality of her new smile, and Dr. Vane only redid 8 of the upper 14 teeth!


This patient had crowding which was causing heavy wear on their front teeth. Our solution was to utilize clear aligners and bonding to improve tooth positioning, without numbing, on the front two teeth. This comprehensive approach restored the length and symmetry for a beautiful smile!


This patient had a broken tooth right after getting her braces off. In just two visits, Dr. Vane was able to bond natural looking replacements on the teeth to restore the look and feel.
The patient was able to forget the trauma and start college off right with a bright, restored smile!


Laser treatment is a painless, quick method that can remove tissue and bone to improve symmetry and level the display of tissue in the teeth. This technique creates a lasting result that gave the patient a broad, more even smile without painful surgery - in just one day!
Notice how the eye is tricked into seeing longer, whiter teeth with just 1mm removal of tissue!


This patient did not want "fake" looking teeth. We took a conservative approach through bonding without numbing or removing any of the tooth's natural structure!
This ultimately created a natural, beautiful looking smile that the patient loved!

.webp)
This patient had a failing root canal and metal crowns that were causing health issues. He came in specifically to have the teeth removed and get same-day zirconia implants. In this case, Dr. Vane did so freehand, without using a guide, and slipped the implants into a better position in the sockets of the extraction. We were able to restore his teeth within a few weeks.
Look at the beautiful response of the tissue - so pink and healthy compared to the previous purple and inflamed gums. These teeth were restored just a few months after having the implants placed!


Notice this patient's short and worn teeth.
Look at the difference! All restorations were done right here in the office. The patient's overall health was much improved, all while having a life-changing, beautiful restoration.


We restored this patient's full mouth by taking out old metal bridges, removing broken teeth, and placing zirconia implants - all here in the office!
Here is his full mouth after placing the final restorations. This is the same day as placement, look at how natural it is! But most importantly, his overall health improved now that we fixed his bite issues and removed toxic teeth.


Same-day crowns are amazing, especially in an emergency! This patient was hit accidentally with a golf club. We scanned his teeth, chose a porcelain color, and milled a new crown all in one day. This is immediately at cementation, he left in 90 minutes with a brand new front tooth!


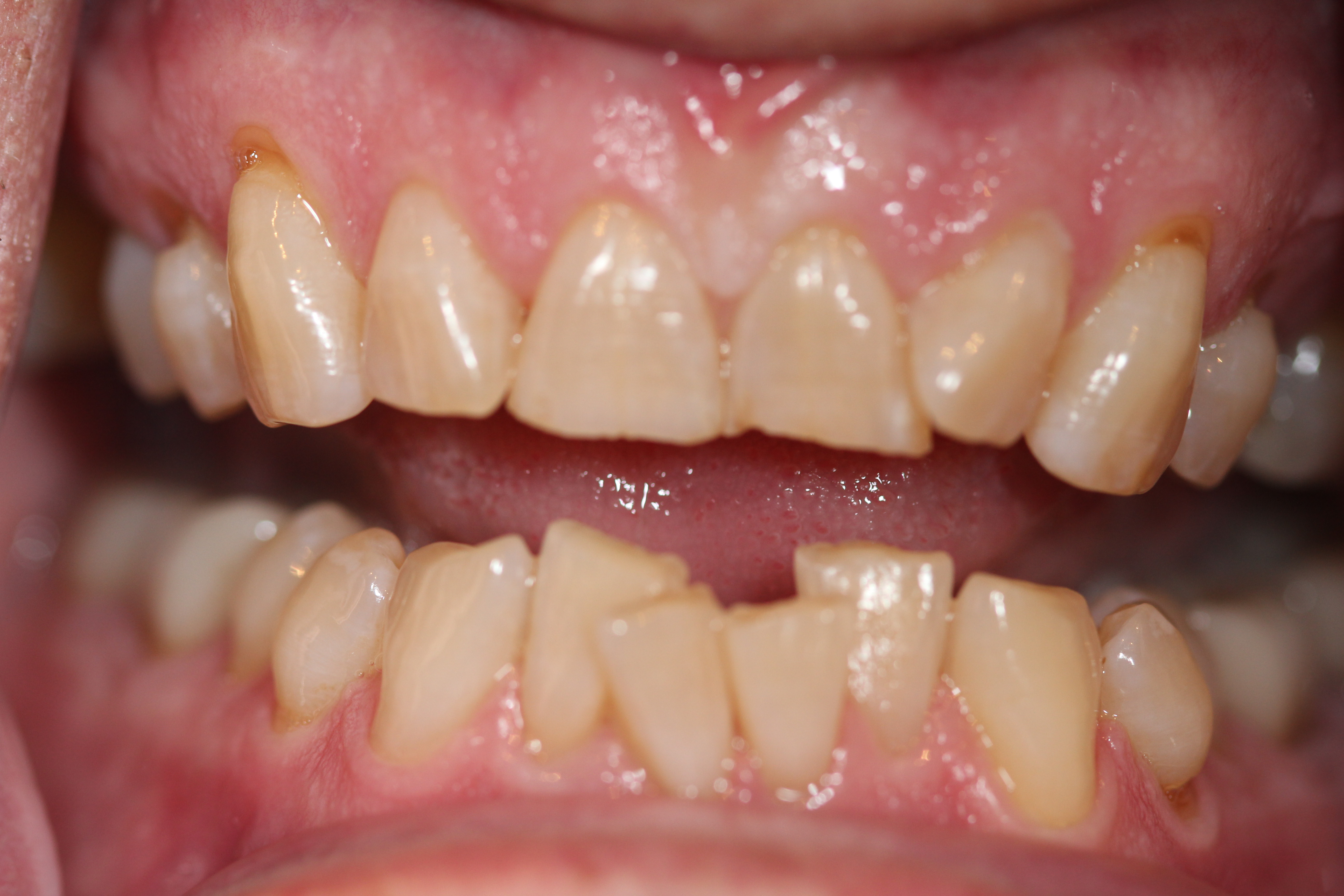
Clenching can cause loss of enamel and cementum at the root. This is called abfraction and is caused by the continual flexing of the teeth.
This patient, even though her teeth appear healthy, had recession and loss of the enamel, resulting in tooth sensitivity. Look closely, and you'll see the abfraction and see how we fixed it.


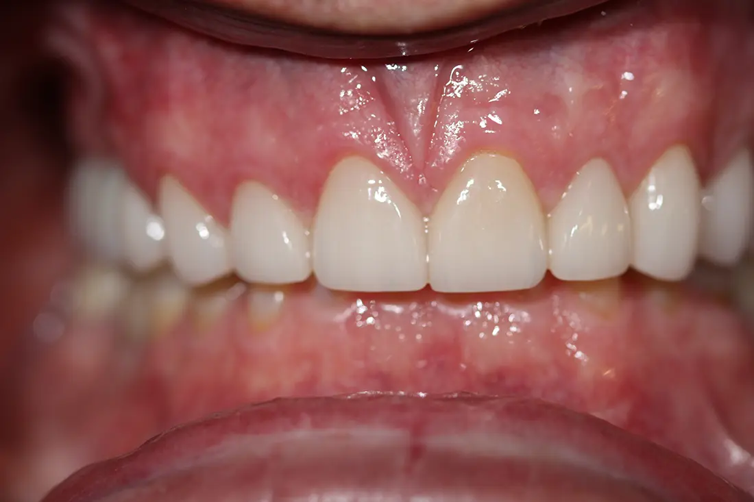
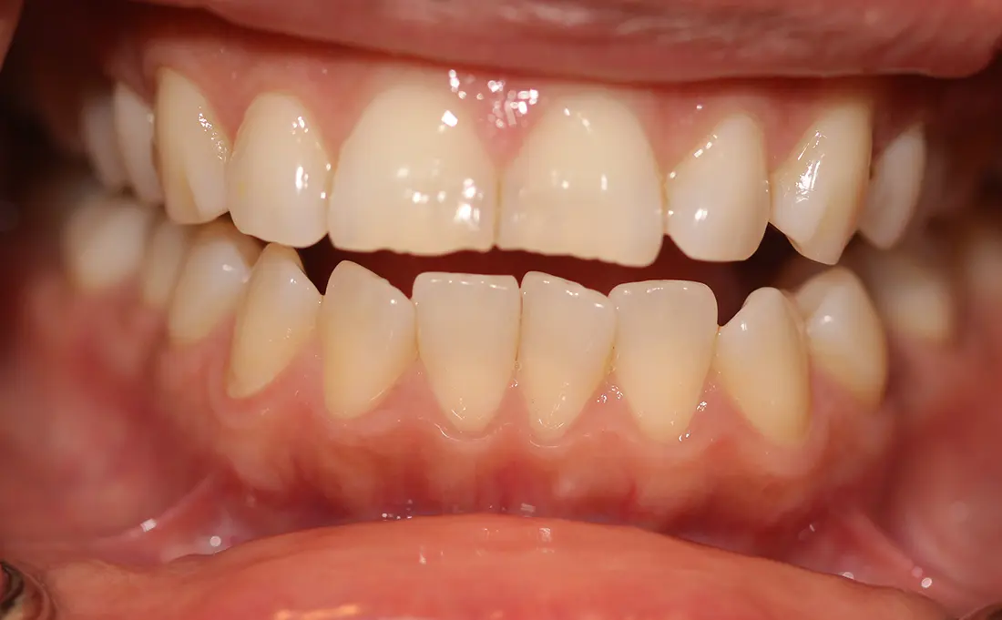
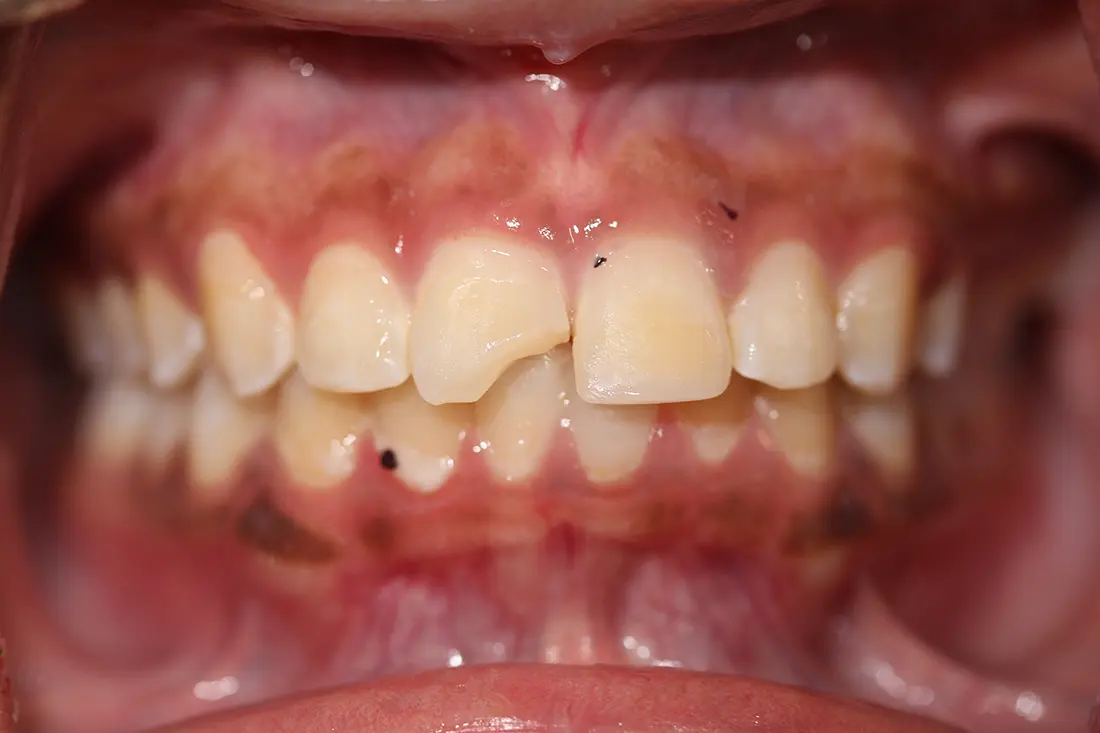
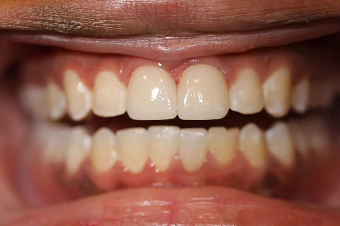
This patient had severely worn teeth from crowding. Look at the after! Less than a year of Invisalign and no-prep bonding on the front teeth. No teeth were pulled and no enamel was lost!


This patient did not like his smile and also suffered from aggressive periodontal disease.
We removed the infection, and are planning implants to support this prosthetic while healing! Life and face changing. His chewing and phonetics have vastly improved, and he looks 10 years younger!


A great before and after case study that highlights a creative way to use veneers and bonding to close gaps between teeth.
At Moonlight Beach Dental, we believe that quality dental care shouldn’t break the bank. That’s why we’ve created the Moonlight Beach Dental Savings Plan. This membership is a yearly treatment plan that saves you over $800 every year on dental services that you need to keep a beautiful, healthy smile.